Smile Gallery: Invisible Braces




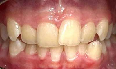
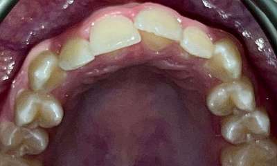
This patient was worried about the incisal edges of her front teeth that had become thin and prone to chipping. This had started in her twenties and unfortunately, now in her thirties, was progressing due to her deep and tight bite and minor crowding.
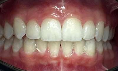
In her case, Dr Gourlay used 14 series of Invisalign aligners over 14 weeks to align her teeth into a more protected bite pattern. She then used composite bonding to restore the chipped edges. The patient has since moved on to using retainers at night to maintain and protect the position of the teeth.


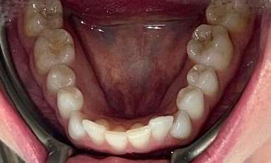
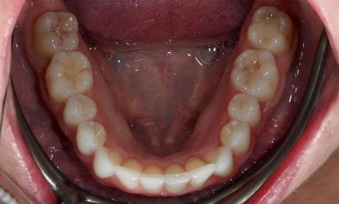
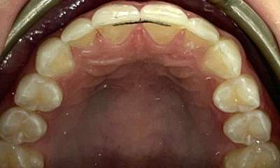
This patient presented with concerns about the damage his teeth had sustained from his bite and previous habits. His lower teeth had caused erosion and wear on the palatal surfaces and incisal edges of his upper front teeth. He was also concerned about the crowding of the lower front teeth. His primary goal was to create a more protected alignment and function of his teeth to support better oral health and longevity.
Due to a sensitive gag reflex, he first trialled nightly whitening trays for two weeks to assess whether he could tolerate aligner wear. This approach helped him proceed with ...




What a smile! It’s so nice to see Invisalign in progress and the confidence it brings, even in the process. In this case it took nine months of Invisalign clear aligners for Dr Gourlay to correct this patient’s crowding. The patient and family are thrilled with the result.