Composite Bonding to Manage Missing Lateral Incisors after Orthodontic Treatment

Some people are born without certain adult teeth. In fact 1% of the population can be missing one or both of their lateral incisors. As restorative dentists we see this condition quite often and work with our specialist orthodontic colleagues to create a final result that conserves tooth structure.
 
In this case the patient was referred to Dr Gourlay by an orthodontist towards the end of comprehensive orthodontic treatment.
 
Initial Assessment:
We had the opportunity to meet the patient while he still had braces on. He was missing 5 of his adult teeth. The orthodontist had aligned and positioned his teeth so we could create restorations that would create the appearance of the teeth that were missing. 
 
Digital Treatment Planning
Even with orthodontic brackets in place, we were able to use digital scanning technology. We sent phots and a scan to our technician to digitally design his smile and then 3D print a mock up of  the teeth that would suit the spaces and the smile. 
 
This digital workflow allowed us to visualise the final tooth proportions and plan how composite bonding could be used to restore the missing tooth shapes once orthodontic treatment was completed.
 
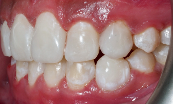
Composite Bonding Treatment
Once the orthodontic treatment was complete, direct composite bonding , using templates from the 3D printed model was used to create the appearance of the missing teeth and create a preferable proclination to the central incisors. The lower missing teeth were also masked with bonding to lower teeth to complete the result.
 
A key advantage to composite bonding is that it is additive dentistry. No enamel was removed. By layering shades of composite resin an integrated appearance is achieved.
 
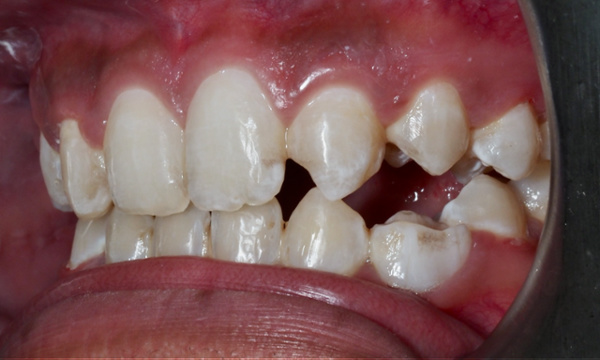
Collaborative treatment

This case also highlights the importance of team work. Orthodontics created the ideal alignment and spacing, while composite bonding allowed the final tooth shapes and proportions to be restored in a conservative way.

The result demonstrates how digital planning and minimally invasive techniques can be combined to manage complex dental presentations while preserving natural tooth structure.

 
Improve your smile today – call to schedule a consultation!